Гидросальпинкс
Время чтения: мин.
Нет времени читать- Что это такое?
- О заболевании
- Виды
- Причины гидросальпинкса
- Признаки гидросальпинкса
- Симптомы гидросальпинкса
- Осложнения гидросальпинкса
- Диагностика гидросальпинкса
- Лечение гидросальпинкса
- Консервативное лечение
- Хирургическое лечение
- Последствия гидросальпинкса
- Профилактика
- Гидросальпинкс и беременность
- ЭКО при гидросальпинксе
Что это такое?
Гидросальпинкс – это патологическое состояние, при котором происходит скопление жидкости внутри фаллопиевой трубы. Cкопление вызвано блокировкой или закупоркой фимбриального конца трубы, то есть есть ее наружной части, которая связана с яичниками. Такая блокировка часто является следствием воспалительного процесса в трубах, что может привести к их повреждению и последующему функциональному нарушению.
О заболевании
Фаллопиева труба, имеет круглого сечения и соединяет матку с брюшной полостью. Один ее конец прямо связан с маточной полостью, в то время как другой, фимбриальный конец, открыт в брюшную полость. Внутри пространство трубы выстлано оболочкой, состоящей из железных клеток, которые вырабатывают слизь. В нормальном состоянии, когда фаллопиева труба не заблокирована, слизь и яйцеклетка могут свободно перемещаться к матке, в этом процессе играют ключевую роль реснички — микроскопические структуры на клетках, обеспечивающие направленное движение внутри трубы.
При воспалительных процессах в фаллопиевых трубах возникает скопление жидкости в их просвете.
Факторы, способствующие развитию гидросальпинкса, включают в себя:
- Нарушение функции ресничного аппарата, что приводит к функциональной низкой активности ресничек или полного ее отсутствия;
- Интенсивное производство жидкости, состоящей не только из слизи, но и из воспалительного экссудата, который формируется в результате фильтрации плазмы крови через сосудистую стенку;
- Препятствие для нормального выхода содержимого фаллопиевой трубы в брюшную полость из-за образования спаек в её фимбриальном отделе, приводящих к его облитерации.
Скопление жидкости в фаллопиевых трубах вызывает механическое давление на стенки, что ведет к их истончению и приводит к функциональным нарушениям. Обычно, фаллопиева труба служит местом для оплодотворения яйцеклетки, которая затем, благодаря движению ресничек, перемещается в матку для имплантации в эндометрий. Однако при гидросальпинксе этот процесс нарушается, что часто приводит к развитию трубно-перитонеального бесплодия. Степень тяжести заболевания зависит не только от состояния внутри трубы, но и от того, есть ли давление на нее извне, например, из-за образования спаек в брюшине.
Виды

Гидросальпинкс может быть классифицирован по нескольким категориям:
- Простой гидросальпинкс, при котором вся труба равномерно расширяется, образуя единую полость;
- Фолликулярный гидросальпинкс, где расширенная труба разделена на множество отсеков соединительнотканными перегородками;
- Вентилируемый гидросальпинкс, который характеризуется периодическим опорожнением содержимого трубы либо в брюшную, либо в маточную полость.
В зависимости от того, затрагивает ли патологический процесс одну или обе фаллопиевы трубы, выделяют односторонний гидросальпинкс и двусторонний гидросальпинкс, правосторонний или левосторонний соответственно.
Причины гидросальпинкса
Основная причина гидросальпинкса - инфекционный процесс. Специфическими возбудителями могут быть хламидии, трихомонады, вирусы, микоплазмы и другие микроорганизмы. В некоторых случаях гидросальпинкс может быть вызван условно-патогенными микроорганизмами, обычно присутствующими во влагалище, которые становятся патогенными при ослаблении иммунной системы, вызывая воспаление.
Риск развития гидросальпинкса увеличивается при следующих факторах:
- Частая смена половых партнеров;
- Раннее начало половой жизни без защиты презервативом;
- Сопутствующие заболевания, влияющие на микробный баланс влагалища;
- Частое проведение влагалищных спринцеваний;
- Неконтролируемый прием антибиотиков;
- Занятие нетрадиционными видами сексуальной активности;
- Применение кортикостероидов и других иммуносупрессивных препаратов.
Огромная кровеносная система маточных труб способствует быстрому распространению воспаления и переноса инфекции на другие ткани. Для блокирования очага заражения ампулярный отдел трубы (соединение с брюшной полостью рядом с яичником) закрывается, что провоцирует образование гидросальпинкса. Но при хорошей иммунной системе и быстром вмешательстве можно избежать такого диагноза.
Способы заражения яйцевода:
- Восходящий – инфекция зачастую поднимается по репродуктивным каналам из влагалища, цервикального канала и матки.
- Нисходящий – случается редко, переносится через кровь от других инфицированных органов (почек, кишечника, мочевой системы).
Признаки гидросальпинкса

Ввиду воспаления маточных труб идет утолщение их стенок, железа начинает активно вырабатывать воспалительную жидкость (экссудат). При избытке содержимого стенки трубы растягиваются и истончаются, больные чувствуют тяжесть, давление внизу живота. Острая форма дает режущие и пульсирующие боли в области таза, паха, поднимается температура, что часто путают с аппендицитом, коликами в кишечнике и почках. При хронической форме симптомы сглаживаются.
При излиянии жидкости наружу появляются выделения из влагалища. Недомогание, озноб, лихорадка, плохой сон. Под давлением маточных труб реснитчатый эпителий повреждается и под воздействием воспаления погибает. Омертвевшие ткани превращаются в спайки, движение яйцеклетки по трубам становится невозможным, наступает бесплодие, а повреждение перистальтики трубы может привести к внематочной беременности.
Часто можно встретить такую информацию, что все первые симптомы списывались на болезненные ощущения перед месячными. В женском организме часто происходят изменения, которые могут носить болезненный характер, проявляться в недомогании и так далее. Чтобы избежать ошибки, требуется внимательно следить за течением цикла, чтобы точно знать, в какие даты все это можно действительно списать на месячные. К примеру, при гидросальпинксе температура может быть легко воспринята как симптом другой болезни, особенно, если другие ее проявления отсутствуют.
Симптомы гидросальпинкса
Тем не менее, некоторые женщины могут испытывать следующие симптомы:
- Легкие боли или ощущение дискомфорта в нижней части живота;
- Нерегулярность менструаций;
- Кровянистые выделения между менструациями;
- Выделения из влагалища с неприятным запахом;
- Боль или дискомфорт во время полового акта.
В случае гнойного воспаления гидросальпинкса, общее состояние пациентки значительно ухудшается. Наблюдается повышение температуры тела, усиление болей, а также гнойные выделения из влагалища. При проведении общего анализа крови выявляется увеличение количества лейкоцитов и ускоренная скорость оседания эритроцитов (СОЭ). При гинекологическом осмотре обнаруживается сильная болезненность в области, где расположен пораженный орган.
Осложнения гидросальпинкса

Серьезным осложнением гидросальпинкса является его разрыв все вышеуказанные симптомы. О том, что произошел разрыв, может говорить сильная резкая боль, во время которой и разрывается труба. При этом увеличивается артериальное давление и все это сопровождается тахикардией. Но такая ситуация говорит лишь о начале разрыва, так как в дальнейшем должны возникать и другие симптомы.
После того, как жидкость попадает из труб в организм, может возникать бледность кожи и выступание холодного пота. Организм переходит в шоковое состояние. Помимо того, что жидкость гидросальпинкса является неестественной для нормального состояния, она может вести к другим болезням, таким как:
- Абсцесс дугласова пространства;
- Пельвиоперитонит;
- Перитонит.
Благодаря своевременной диагностике ситуации с разрывом случаются не так уж часто. Это последняя стадия болезни, при которой воспаленная часть тела просто не выдерживает скопившейся в ней жидкости. Причиной для прорыва может стать резкое движение, перенапряжение, излишнее давление на больную область и так далее. Лучше всего решать все это до возникновения подобных осложнений, но при этом не мешает знать, какие действия предпринимать при возникновении симптомов разрыва гидросальпинкса.
Диагностика гидросальпинкса
Во время бимануального влагалищного осмотра врач может заподозрить наличие гидросальпинкса, если при пальпации области придатков обнаруживается образование мягко эластической консистенции, которое может быть чувствительным или вызывать болезненные ощущения при надавливании. Если воспалительный процесс в фаллопиевых трубах протекает длительное время, контуры такого образования могут стать размытыми из-за развития перитубарных спаек.
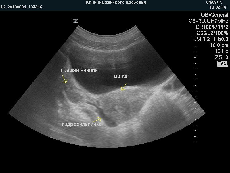
Диагностика гидросальпинкса чаще всего подтверждается с помощью ультразвукового исследования. На ультразвуковых снимках видна увеличенная фаллопиева труба с анэхогенным (не отражающим ультразвук) содержимым, то есть, заполненная жидкостью. Эта жидкость может быть однородной или содержать взвесь. В случае простого гидросальпинкса труба выглядит как мешковидное образование с тонкими стенками, при этом кровоток в них может быть нарушен, что подтверждается допплеровским ультразвуковым исследованием. При фолликулярном гидросальпинксе пораженная труба имеет вид многокамерного образования с тонкими перегородками, представляющими собой соединительнотканные тяжи. Длительность существования гидросальпинкса или агрессивность воспалительного процесса увеличивает вероятность формирования многокамерного образования.

После установления диагноза гидросальпинкса, врач-гинеколог назначает комплексное обследование для определения основной причины заболевания. Лабораторная диагностика включает в себя несколько ключевых направлений:
- Анализ микробного состава влагалища с использованием высокочувствительного теста;
- Бактериологическое исследование аспирата из маточной полости и выделений из заднего свода влагалища;
- ПЦР-диагностика для выявления конкретных инфекционных возбудителей.
Максимально точные результаты исследования достигаются, когда анализы проводятся на образцах, собранных во время диагностической лапароскопии. Тем не менее, на практике осуществление такого подхода часто представляет собой сложную задачу.
Лечение гидросальпинкса
Терапевтический подход к гидросальпинксу начинается с применения консервативных методов лечения. Если эти меры окажутся безрезультатными, тогда появится возможность провести лапароскопическую операцию.
Консервативное лечение

Консервативное лечение гидросальпинкса определяется на основе результатов лабораторного анализа, которое помогает определить основную причину заболевания.
В лечебную программу могут быть включены препараты следующих категорий:
- Антимикробные средства для борьбы с возбудителями инфекций, будь то бактерии, вирусы и простейшие организмы;
- Иммуномодуляторы для стимуляции иммунной системы;
- Противовоспалительные медикаменты для предотвращения вторичных поражений;
- Витаминно-минеральные комплексы, способствующие оптимизации метаболических процессов.
- Фибринолитические – способствуют рассасыванию в организме небольших спаек.
Хирургическое лечение
В случае, когда женщина решается на беременность, но консервативное лечение гидросальпинкса не принесло результатов, может быть принято решение о хирургической операции. В зависимости от клинической ситуации варианты хирургического вмешательства могут включать:
Органосохраняющие операции, такие как пластика матовой трубы, включающая удаление спаек, ликвидация жидкостей и восстановление проходимости трубы.

В случаях, когда труба сильно повреждена, может быть произведено ее полное удаление, что особенно актуально при подготовке к ЭКО для предотвращения внематочной беременности и ликвидации хронического инфекционного очага.
Такие операции, как пластика маточной трубы и тубэктомия, в современной гинекологии чаще всего проводятся с помощью лапароскопии. Хирург делает несколько небольших разрезов на передней брюшной стенке для введения инструментов. Процедуры проводят осторожно, чтобы свести к минимуму риск повреждения тканей. Послеоперационное восстановление после лапароскопии обычно проходит более быстро и легко, чем после традиционной открытой операции.
Последствия гидросальпинкса
Среди многих болезней органов малого таза гидросальпинкс отличается серьезными последствиями, которые могут обернуться большими проблемами для женского здоровья. Осложнения гидросальпинкса можно условно разделить на те, которые возникают во время протекания недуга и те, которые проявляются уже на поздних стадиях.

Даже если на ранних стадиях диагностирован гидросальпинкс, последствия могут быть серьезными именно для тех, кто хочет родить. Даже в самом начале скопления жидкости, вывод которой блокируется спайками или кистами, яйцеклетка не может продвигаться. Если болезни подвержена одна труба, то шанс забеременеть уменьшается в два раза. Таким образом, беременность может наступать только через цикл. Если диагностирован двусторонний гидросальпинкс, то здесь уже можно говорить о трубном бесплодии. Пока проходимость этих органов не будет восстановлена, забеременеть нормальным путем будет невозможно, даже при нормальной работе яичников.
Помимо бесплодия на начальных стадиях гидросальпинкс дает воспаление. Это длительный процесс, который у каждой женщины проявляется по-разному. Воспаление случается от застоя жидкости. Это может привести к воспалению не только труб, но и яичников, матки и прочих прилежащих органов. Во время воспаления ощущаются режущие, пульсирующие или тупые боли. Также органы перестают работать нормально, пока не будет снято воспаление.
Одним из последствий начальной стадии может стать внематочная беременность. Это может случиться тогда, когда зачатие все же было произведено, но из-за воспаления стенки трубки не смогли вывести оплодотворенную яйцеклетку из фаллопиевой трубы.
Профилактика
Для предотвращения риска возникновения гидросальпинкса рекомендуется следующее:
- Профилактика половых инфекций, использование презерватива при сексуальных контактах, регулярное прохождение анализов;
- Поддержание здоровой микрофлоры, соблюдения гигиены интимной зоны, использования специальных моющих средств, избегание частичных вагинальных спринцеваний, которые могут негативно сказаться на микрофлоре;
- Регулярное посещение гинеколога для своевременного выявления патологических процессов и лечения заболеваний репродуктивной системы.
Гидросальпинкс и беременность
В случае гидросальпинкса перед планированием беременности рекомендуется пройти курс лечения, который включает в себя применение антибиотиков и противовоспалительных препаратов. Также может потребоваться проведение операции для восстановления проходимости труб.
Если же гидросальпинкс уже привел к нарушению проходимости труб, то врачи рекомендуют использовать метод искусственного оплодотворения (ЭКО). Этот метод позволяет выбрать наиболее здоровые яйцеклетки и сперматозоиды, а затем перенести их в полость матки. При этом, благодаря использованию ЭКО, можно увеличить шансы на успешную беременность даже в случае наличия гидросальпинкса.
ЭКО является одним из самых эффективных методов лечения бесплодия. Он позволяет обойти препятствия, которые мешают зачатию и беременности, и дает возможность паре реализовать свою мечту о детях.
Однако, перед тем как решиться на ЭКО, необходимо тщательно изучить все возможные риски и преимущества данного метода. Кроме того, следует обратиться к опытному врачу-гинекологу, который поможет выбрать наиболее подходящий метод лечения и даст необходимые рекомендации.
ЭКО при гидросальпинксе

Исследования показывают, что присутствие гидросальпинкса значительно снижает темпы успешного лечения бесплодия с помощью метода ЭКО: возможность достижения беременности в матке снижается практически в два раза, а риск прерывания беременности значительно увеличивается.
Факторы, снижающие эффективность программы ЭКО:
- Увеличение вероятности эктопической (трубной) беременности.
- Уменьшение вероятности успешной имплантации эмбрионов. Жидкость, находящаяся в полости гидросальпинкса, содержит множество микроорганизмов, лимфоцитов и других веществ, оказывающих токсическое воздействие на эмбрионы. Кроме того, в этой жидкости содержатся простагландины, лейкотриены и воспалительные цитокины, которые могут нарушить функцию эндометрия и активизировать его способность к имплантации. Даже разведенная до 1% жидкость гидросальпинкса оказывает сильное негативное воздействие на эмбрионы.
- При наличии большого количества эксудата происходит механическое воздействие на сосудистые сплетения, обеспечивающие кровоснабжение яичников. Это может привести к неадекватному ответу яичников на стимуляцию суперовуляции и недостаточному состоянию яичников на стимуляцию.
- Нарушается нормальная анатомия маточной трубы, ее стенка утолщается, и слизистая оболочка становится менее подходящей для имплантации. Это может привести к уменьшению количества рецепторов прогестерона и эстрадиола, что, вероятно, повлияет на процесс имплантации.
При присутствии гидросальпинкс восстановление проходимости маточной трубы посредством корректирующей операции, такой как сальпингостомия, временно сохраняет функцию, но может вызвать рецидив заболевания. С другой стороны, успех сальпингэктомии, то есть полное удаление маточной трубы, значительно повышает эффективность программы ЭКО, увеличивая ее с 10% до 30-35%.
Как уменьшить риски при проведении ЭКО после гидросальпинкса?
Есть несколько вариантов, как уменьшить риск появления осложнений при проведении ЭКО. Специалисты часто предлагают несколько вариантов и озвучивают наиболее подходящий.
К самым распространенным процедурам, которые помогают ликвидировать риски можно отнести:
- Аспирацию жидкости, которая находится в маточной трубе;
- Восстановление проходимости труб оперативным методом, а также одновременное опорожнение участков со скопившейся жидкостью;
- Удаление фаллопиевой трубы, которая подверглась воспалению и утратила свою функциональность.
Современная медицина выработала четкий алгоритм действий, который поможет разобраться с гидросальпинксом и его последствием, но многое зависит от решения пациентов. Многие женщины боятся удалять трубы, но это порой оказывается самым эффективным способом забеременеть при помощи ЭКО. Шансы в таком случае увеличиваются на 50%, так как убираются все негативные факторы. Естественным образом зачать уже не получится, но и с поврежденными трубами это маловероятно.
Восстанавливающие операции проводятся, но зачастую дают слабый эффект. Восстановление и пластика не способным вернуть былую функциональность органов. Это дарит лишь ложные шансы на успешное зачатие, тогда как ЭКО дает значительно большую вероятность.
Удаление жидкости также не всегда помогает. Чаще всего успешное зачатие после этого случается в первые циклы после операции. В дальнейшем остается шанс повторного образования гидросальпинкса. Это касается и ЭКО, так как в данном случае остаются все те же проблемы, что эмбрион не сможет прикрепиться.
Перед проведением ЭКО врачи проводят контрольное обследование и если есть какие-либо неблагоприятные факторы в виде гидросальпинкса и прочих болезней, то рекомендуется от них избавиться. Хирургический способ лечения считается наиболее эффективным в мировой практике. Удаление труб становится одним из обязательных условий, если женщина решительно настроена на ЭКО, чтобы избежать осложнений.
Список литературы:
- А.Е. Солопова, В.Г. Быченко и соавт. // Акушерство и гинекология. - 2019. - № 10.
- Клинические рекомендации. Акушерство и гинекология [Электронный ресурс] / под ред. В. Н. Серова, Г.Т. Сухих. - 4 е изд., перераб. и доп. - М.: ГЭОТАР-Медиа, 2015.
- Фролова, О.Г. Репродуктивное здоровье женщин / О.Г. Фролова. - М.: Медицина, 2004. - № 3
- Схемы лечения. Акушерство и гинекология [Электронный ресурс] / под ред. В. Н. Серова, Г.Т. Сухих; ред.-сост. Е.Г. Хилькевич - 2-е изд., испр. и доп. - М.: Литтерра, 2015.
- Сухих, Г.Т. Бесплодный брак. Современные подходы к диагностике и лечению / Г.Т. Сухих, Т.А. Назаренко. - М.: ГЭОТАР-Медиа, 2010
- Стрижаков, А.Н. Оперативная гистероскопия / А.Н. Стрижаков, А.И. Давыдов. – Изд: Династия, 2015.
Задайте вопрос к врачу здесь на сайте, запишитесь на прием в клинику или проконсультируйтесь онлайн
Комментарии